要観察歯CO(シーオー)について
要観察歯COとは?
学校歯科保健の分野で要観察歯(CO)が取り入れられたのは、学校において適切な指導観察などの管理を行うことにより、初期のう蝕病変を疑わせる歯が実質欠損が伴うう蝕病変へ進行するのを予防することを目的としている。
視診にて明らかなう窩は確認できないが、着色、白斑など初期病変の疑いがある歯をいい、次のような歯が該当します。
エナメル質に軟化した実質欠損は認められないが
小窩裂溝において、褐色、黒色などの着色や白濁が認められるもの。
平滑面において、粗造面や白濁・褐色斑が認められるもの。
隣接面などにおいて、精密検査を要するう蝕様病変のあるもの。
健康診断におけるCOの症状

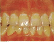
小窩裂溝の着色

平滑面に見られる白濁斑

平滑面に見られる粗造面

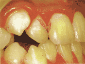
充填物周囲の褐色状の着色

隣接面

側切歯の白濁
適切な指導と観察によって
要観察歯は適切な指導や観察を行うことにより、むし歯への進行を遅らせ、う蝕から守ることもできます。

小窩裂溝の着色がある

裂溝に変化なく進行していない(8年後)

明瞭な白濁がある

適切な管理で消退した白濁

7年後(指導された事を励行している)白濁は完全になくなっている
適切な指導や観察が行われないと

白濁

むし歯になってしまった
適切な指導や観察が行われないと
1.治療勧告の対象とはしないが、放置すると、う蝕に進行する可能性が高いので、定期的な観察(3~6ヶ月毎)及び、刷掃指導、食事指導などの保健指導・保健管理を学校内で行う。
2.1~2年間は経過診察を続け、う蝕へ進展の有無を確認する。
3.軟化歯質が認められ治療が必要と認められたら、その時点で受診を勧める。
4.乳歯のう歯のり患率の高かった児童生徒には保健指導を強化する。
5.隣接面う蝕の確認が極めて困難な場合は、精密検査の必要がある。



